EHUko ikertzaileek saguetan frogatu duenez, gibeleko zelula izartsuek metastasiaren garapena bultzatzen dute, eta, haiek kenduz gero, metastasia ia desagertu egiten da. Ikerketak gibeleko metastasia tratatzeko bide berria ireki dezake.
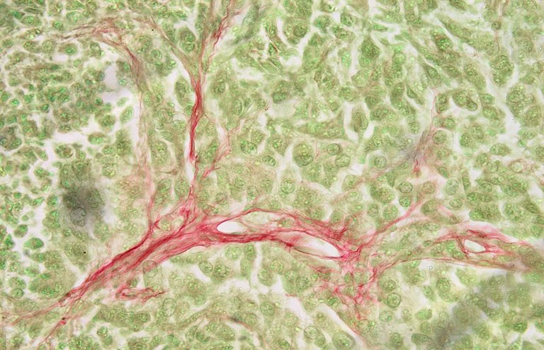
Hepatology Communications aldizkarian eman dute ikerketaren berri. Haren arabera, gibeleko zelula izartsuak (HSC) aktibatu egiten dira gibelak lesio bat daukanean: zelulaz kanpoko matrize bat sortzen dute, besteak beste kolagenoz osatua, eta orbain bat sortzen dute, gibela babesteko asmoz. EHUko Cancer and Translational Medicine ikerketa-taldean ikusi dutenez, zelula metastasikoak gibelera iristen direnean ere, zelula izartsuak aktibatu egiten dira, eta, haiek lagundu egiten diote garatzen tumore metastasikoari. Hain zuzen, kolagenoa jariatzeaz gainera, odol-hodi berriak sortzen laguntzen dute, eta, gorputzaren defentsei oztopo egiten dieten hainbat faktoreren ondorioz, tumore-zelulak garatzen laguntzen dute. Are gehiago, ikusi dute ezinbestekoak direla gibeleko metastasia abiatzeko eta garatzeko.
Horretan sakonduz, frogatu dute, lehen aldiz, gibeleko zelula izartsuak kentzean saguen metastasia ia guztiz desagertu dela: kolageno-metaketa murrizten da; odol-hodien sorrera ere blokeatzen da; gibelaren erantzun immunea hobetzen da; eta horrek guztiak laguntzen du tumorearen aurka egiten.
Ikerketa koloneko minbiziak eta melanomak eragindako gibeleko metastasiarekin egin dute, eta, orain, pankreako minbizia ikertzen ari dira. Azaldu dutenez, gaur egun, ikusi da koloneko minbiziak gora egin duela, baita gazteetan ere; koloneko minbizia daukaten gaixoen % 70ek gibeleko metastasia garatuko dute bere bizitzan, eta normalean horixe izaten da paziente horien heriotzaren arrazoi nagusia.
Ikertzaileen esanean, bide luzea geratzen bada ere, lortutako emaitzak oso esanguratsuak dira, eta lehen baino gertuago daude sendabidetik.
Elhuyar Zientzia







