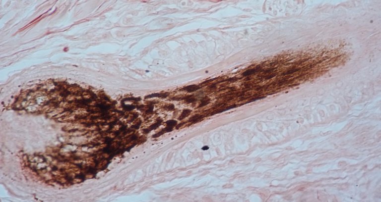
Usaimen-errezeptore batek ilearen hazkuntza erregulatzen duela aurkitu dute. Laborategian giza buru-azalarekin egindako esperimentuetan, ikusi dute sandalo-lurrinak ilea haztea eragiten duela. Nature Communications aldizkarian eman dute horren berri.
Sudurreko zelula espezializatu batzuek dituzten usaimen-errezeptoreek molekula usaintsuak detektatzen dituztenean, usainak hartzen ditugu. Baina, gorputzeko beste zelula batzuek ere badituzte usaimen-errezeptoreak, eta beste funtzio batzuk izan ditzakete. Esterako, orain aurkitu dute ile-folikuluetan OR2AT4 usaimen-errezeptoreak daudela. Eta sandalo-lurrin sintetikoarekin egin dituzten esperimentu batzuetan ikusi dute lurrin horrek ilearen hazkuntza estimulatzen duela, keratina sortzen duten zelulen heriotza murriztuz, eta hazkuntza-faktore baten ekoizpena areagotuz.
Egoitz Etxebeste Aduriz
Elhuyar Zientzia



