Una proteína que regula la división celular está relacionada con la esterilidad
La proteína P27, anteriormente conocida como regulador de la división celular, también puede estar relacionada con la esterilidad. A esta conclusión ha llegado un grupo de investigadores de la UPV/EHU, del Hospital Universitario Cruces y del Memorial Sloan-Kettering, en su investigación. La investigación ha sido publicada recientemente en la revista Human Reproduction.
Carmen de la Hoz, investigadora del Departamento de Biología Celular e Histología de la UPV-EHU, ha recordado que el punto de partida de la investigación fueron los ratones modificados genéticamente, a los que se les retiró el gen que codifica esta proteína en un proyecto de investigación del cáncer: “Era conocida la importancia del papel de esta proteína en la regulación de la división celular, que suele estar modificada en los casos de cáncer. Es habitual crear ratones knock out que no contengan el gen objeto de estudio para analizar la función de esta proteína y ver qué ocurre cuando no existe”. El descubrimiento del gen y la creación de ratones libres de este gen fue el trabajo del equipo de investigación del Dr. Andrew Koff en el Memorial Sloan-Kettering de Nueva York, con el que se han obtenido los resultados actuales.
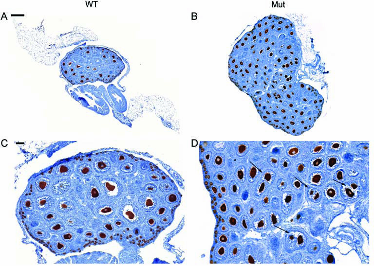
Al estudiar a las hembras sin proteínas P27, se observó que tenían más obocitos y folículos y que, sin embargo, eran estériles. En particular, “nos dimos cuenta de que, por su morfología llamativa, hasta ahora nadie había mencionado en ningún artículo, los folículos multiobocitarios eran abundantes en estos ratones en la etapa perinatal. Esos folículos son especiales, porque los folículos normalmente tienen un ovocito”, explica Germen. Aunque parezca paradójico, la presencia de folículos multiobocitarios coincide con la esterilidad, ya que a los pocos días del nacimiento de la cría se deterioran. “Tenemos que analizar más mecanismos, pero es muy probable que al crear estos folículos y al aumentar la cantidad de ovocitos aparezca una cierta selección negativa que provoque su degeneración”, ha añadido Jairo Pérez, investigador que está finalizando su tesis doctoral en el grupo de De la Refrigeración.
Según los investigadores, los descubrimientos pueden abrir un nuevo camino en la investigación de la esterilidad humana. “En los seres humanos todavía no se ha investigado el papel de esta proteína y de otras de su familia en las personas con una fecundidad limitada. En ocasiones no se conoce qué mecanismos moleculares concretos se esconden detrás de los problemas de fertilidad”, afirma Roberto Matorras, experto en reproducción humana asistida.
Buletina
Bidali zure helbide elektronikoa eta jaso asteroko buletina zure sarrera-ontzian







