Linfoma- eta leuzemia-zelula batzuk birprogramatuta gaizto izateari uztea lortu dute Nafarroako CIMA eta Bartzelonako CRG zentroetako zientzialari-talde batek. Birprogramatutako zelulek onbera izaten jarraitu dute tratamendua aplikatzeari utzi ondoren ere, eta aukera gutxiago dute tumoreak sortzeko. Ikerlanaren emaitzak Cell Reports aldizkarian argitaratu dituzte.
Leuzemia eta linfoma odoleko zeluletako bi minbizi-mota dira. Bi gaixotasun horiek tratatzeko, kimioterapia, erradioterapia eta antigorputzak erabiltzen dira nagusiki, zelula kantzerigenoak suntsitzeko. Baina paziente asko oraindik ez dira sendatzen haien bitartez.
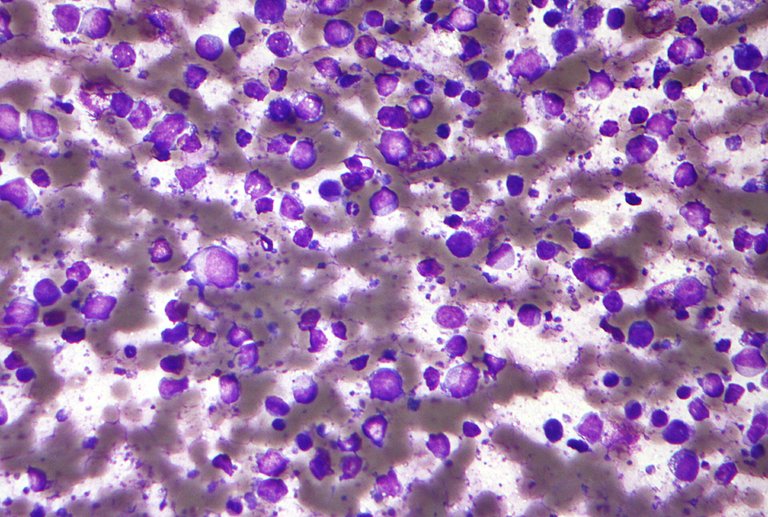
“Gure esperimentuek erakusten dute minbizi-zelulak transdiferentziatu (eraldatu) egin daitezkeela zelula normalen antzeko beste zelula batzuk lortzeko”, dio José A. Martínez CIMAko ikertzaileak. Eraldaketa hori gertatzeko, CEBPalpha proteina maila altuan espresatzea eragin zuten leuzemiak eta linfomak jotako pazienteen zeluletan. “7-8 egunen buruan ikusi genuen proteina hori maila altuan espresatzen zuten zelulek aldaketa morfologiko, fenotipiko eta molekularrak izan zituztela, eta makrofagoen itxura hartu zutela. Makrofagoak oso mantso zatitzen dira eta oso inbasio-gaitasun txikia dute”, gaineratu du CIMAko ikertzaileak.
Zelula horiek immunogabetutako saguetan sartuta ere, makrofago bihurtu zirela ikusi zuten, bai eta zelulek tumoreak sortzeko gaitasuna galtzen zutela ere. “Hala, ikusi genuen sagu asko sendatu egin zirela”, nabarmendu du Martínezek.
Martínezek dioenez, egindako ikerketarekin “kontzeptu-proba frogatu dugu, hau da, frogatu dugu gizakiaren minbizi-zelulak birprogramatu daitezkeela. Orain, bi erronka ditugu aurretik: batetik, zehaztu behar dugu zer leuzemia- eta linfoma-motatan egin daitekeen birprogramazioa CEBPalpha proteina espresaraziz, eta, bestetik, proteina horren espresioa aktibatuko duten molekulak bilatu eta identifikatu behar ditugu, pazienteekin erabili ahal izateko”.
Lakar Iraizoz, Oihane
Elhuyar Zientzia Elhuyar Fundazioko Zientziaren Komunikazioa sailean ari da lanean 2006ko urriaz geroztik. Elhuyar Zientzia eta Teknologia aldizkarian ia hilabetero artikuluak argitaratzen ditu, eta Basque Research webguneko arduraduna eta erredaktorea ere bada. Euskal Herrian egiten den ikerketaren berri ematen du Basque Researchek. Biologian lizentziatua da, Leioako EHUn egin zituen ikasketak, eta, Elhuyar Fundazioan baino lehen, Bertiz Jaurerria Parke Naturalean aritu zen lanean, bisitariei harrera egiten eta ingurunea zaintzen.



