Five variants of Alzheimer's have been identified

Five biological variants of Alzheimer's have been found. And each variant may require a different treatment. Moreover, some previously tested drugs may be ineffective. This is the conclusion that researchers have come to in their work published in the journal Nature Aging.
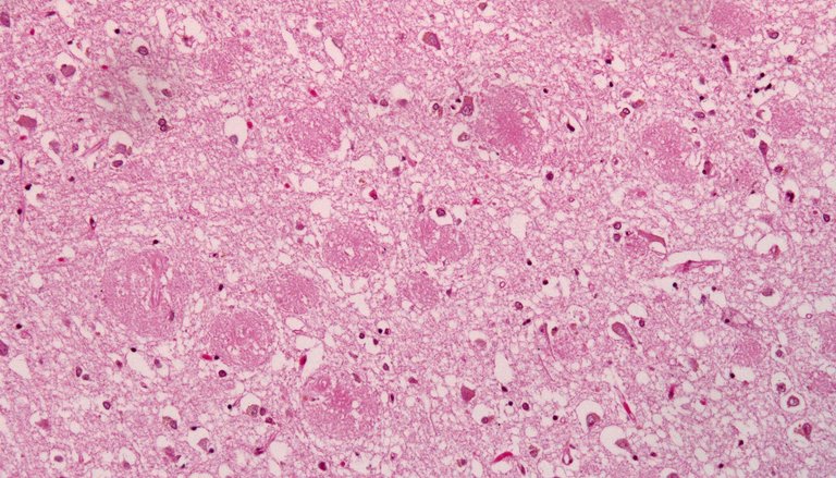
In Alzheimer's patients, amyloid and tau proteins accumulate in the brain. In addition to these deposits there are other biological processes such as inflammation and growth of nerve cells. It is precisely in these processes that they have focused. Researchers have analyzed 1058 cerebrospinal fluid proteins in 419 people with Alzheimer's. And they've observed five biological variants. For example, the first variant is characterized by an increase in the production of amyloid. In the second type, the blood-brain barrier is altered and decreases the production of amyloid and the growth of nerve cells. On the other hand, they observe that the evolution of the disease is different according to the variety.
Researchers stress that discovery is important for drug research. Some medications may be used for some variant, but not for others. For example, drugs that inhibit the production of amyloid could be appropriate for variants in which it increases, but could be harmful for cases in which the production of amyloid decreases. And the same can happen with the risk of side effects. Therefore, the next step would be to investigate the influence of drugs on each variant.
Buletina
Bidali zure helbide elektronikoa eta jaso asteroko buletina zure sarrera-ontzian