Sakatu irudian bideoa ikusteko
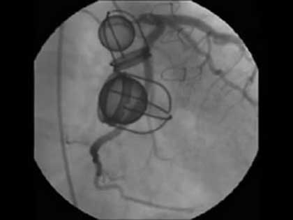
Bihotzeko bi balbula artifizial horiek grabatu zituzten 67 urteko emakume baten bihotzean Kanadako Montreal Bihotz Institutuan. Bihotzaren bi irteera-tututan jarri zizkioten orain dela hogeita hemezortzi urte, odolak atzera egitea saihesteko. Dagokien bihotz-barrunbearen presio-aldaketak eragiten du ikusten diren pilotatxoek kaiolan aurrera edo atzera egitea, eta, hala, odolari pasatzen uztea edo atzerako bidea oztopatzea.
Hogeita hemezortzi urte hauetan guztietan ez dute hutsik egin, baina balbulak zahartzen hasiak dira dagoeneko. Emakumea ospitalera joan zen, nekez hartzen zuelako arnasa. Han, kateterismo bat egin zioten bihotzean, gauzak behar bezala ote zeuden ikusteko, eta erabilitako kontrasteari esker lortu zituzten orain ikusgai ditugun irudiak.
Argazkia: Nicolo Piazza
Lakar Iraizoz, Oihane
Elhuyar Zientzia Elhuyar Fundazioko Zientziaren Komunikazioa sailean ari da lanean 2006ko urriaz geroztik. Elhuyar Zientzia eta Teknologia aldizkarian ia hilabetero artikuluak argitaratzen ditu, eta Basque Research webguneko arduraduna eta erredaktorea ere bada. Euskal Herrian egiten den ikerketaren berri ematen du Basque Researchek. Biologian lizentziatua da, Leioako EHUn egin zituen ikasketak, eta, Elhuyar Fundazioan baino lehen, Bertiz Jaurerria Parke Naturalean aritu zen lanean, bisitariei harrera egiten eta ingurunea zaintzen.








